🦷 藤花歯科医院のCT、こんなに見えてます📸
2026/03/26
🦷 藤花歯科医院のCT、こんなに見えてます📸
「レントゲンは撮ったけど、異常なし」と言われた後に問題が見つかった…そんな経験、ありませんか?
実は、従来の2Dレントゲンでは見えない情報がたくさんあります。
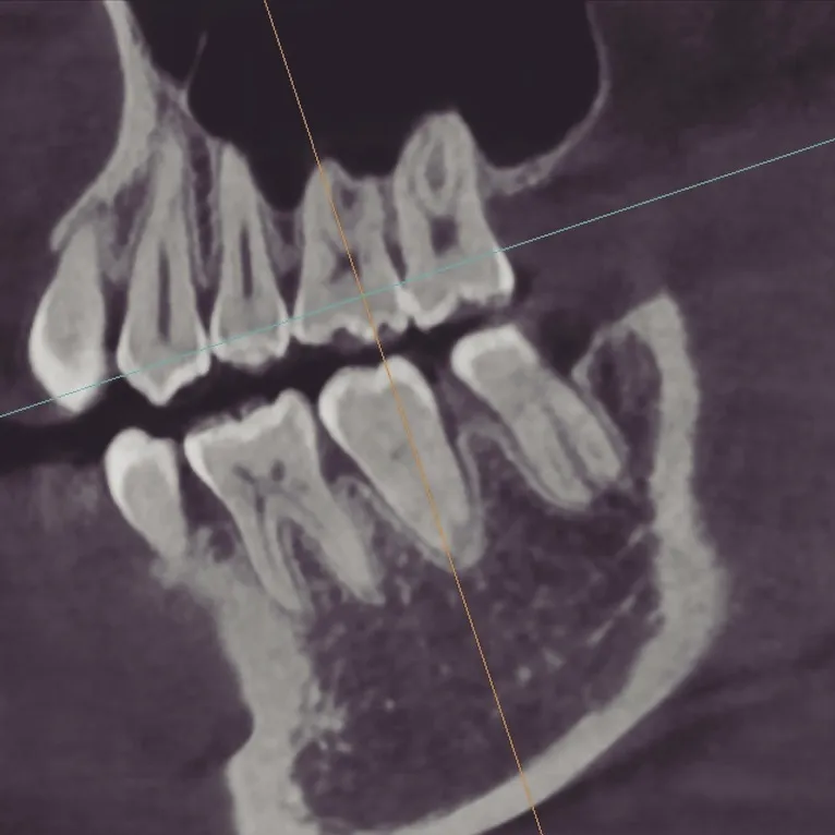
当院ではCBCT(歯科用CT)を導入しており、歯のことを立体的・多角的に把握することができます✨
CBCTでできること、こんなに違います👇
🔍 虫歯の早期発見
歯と歯の間の虫歯など、2Dでは見つけにくい虫歯も確認できます。
🦴 歯の破折(ひび・割れ)の発見
「なんとなく痛い」の原因が、歯の亀裂だったということも。CTがあるから見つけられます。
🎯 インプラント・外科処置のシミュレーション
骨の量・形・神経の位置まで3Dで把握。より安全で精度の高い治療計画が立てられます。
📐 矯正治療への活用
歯や骨格の状態を正確に把握することで、より的確な矯正プランに。
投稿の写真は院長・私自身のCBCT画像です🙋♂️
こんなにリアルに、立体的に把握できるんです。
CTは今や、歯科診断の必須ツールになりつつあります。
「なんとなく気になる」「前の歯医者で異常なしと言われたけど痛い」
そんな方も、ぜひ一度ご相談ください🌸
📍藤花歯科医院
#藤花歯科医院 #歯科CT #CBCT #歯のレントゲン #インプラント #虫歯早期発見 #歯の破折 #矯正歯科 #精密診断 #歯科医院 #大阪の歯医者 #歯の健康 #予防歯科 #歯医者選び #3Dスキャン




